Skip to content Skip to sidebar Skip to footer

Widget HTML #1

How Much Does Teeth Pasta Cost Philippines - Do you know how much new teeth cost?

How Much Does Teeth Pasta Cost Philippines - Do you know how much new teeth cost?. Do you have questions about the cost of tooth extractions? How much in philippine peso's (php) are the. What did arjo and arian drink? Wisdom teeth removal cost depends the more severe the impaction, the higher the cost of the extraction, and the greater the odds that you'll need to see a specialist, such as an oral surgeon. From extraction, cleaning, pasta and putting in my denture.

Kaya nauuso ang dental tourism. If you do not live in a country where you can receive healthcare assistance to pay for dental. Here's an overview on what you can expect and a general idea of talk with your veterinarian to find out how they charge for dental cleanings and what is included in the rate. How much per tooth for dental implant. How much is a surgical extraction?

Average Cost Of Braces 2020 | Dental costs, Dental braces ...
Average Cost Of Braces 2020 | Dental costs, Dental braces ... from i.pinimg.com
Isa po ito sa paraan ng papasta sa ngipin sa harapan. How much does teeth straightening cost? Here's an overview on what you can expect and a general idea of talk with your veterinarian to find out how they charge for dental cleanings and what is included in the rate. The transfer of title in the philippines involves some costs. Least 600 per tooth i think. Wisdom teeth removal cost depends the more severe the impaction, the higher the cost of the extraction, and the greater the odds that you'll need to see a specialist, such as an oral surgeon. While costs for everything vary, the average price you are looking at paying for dental implants in the los angeles is between $1,000 and $3,000 for a single implant, and up to $6,000 for the abutment and the. 0927 984 8895, clinic address :

How much is a surgical extraction?

Yes, you can expect that most dental plans will provide some level of coverage for routine dental extractions. How much per tooth for dental implant. The most common method of straightening crooked teeth is through the use of orthodontic braces. The most common practices for these offers is a discount when purchasing more than one dental implant. If you eat in the eatery where you can see everywhere, one meal. 1 way of doing a tooth filling in an anterior tooth. So why do we have these added teeth that seem to create pain as well as discomfort? Typical cost ranges for wisdom tooth removal how much of the cost of wisdom tooth extraction is covered by insurance? Aside from the physical condition of the tooth, the type of materials used for pasta will also influence the price. How much does teeth straightening cost? If you're wondering how much dental implants cost, you've come across the right article. Exactly how much it costs to have your tooth pulled may vary due to circumstances such as the following. While costs for everything vary, the average price you are looking at paying for dental implants in the los angeles is between $1,000 and $3,000 for a single implant, and up to $6,000 for the abutment and the.

Prices vary by location, date, size of the place, and the level of luxury. More than just repairing a tooth. When carried out successfully, teeth whitening can help remove staining and give you a brighter smile though medicare does not cover teeth whitening, your private health insurance might, as shore dental states each insurance provider offers its own unique. The chipped tooth repair cost varies accordingly to the number of injured tooth, the severity. A split tooth is a much more serious type of tooth break.

How Much is a Root Canal in the Philippines? - Asian Sun ...
How Much is a Root Canal in the Philippines? - Asian Sun ... from i0.wp.com
A tooth pasta in the philippines can cost from php 700 to php 1,200 or more. Complete the punnett square and answer. How much do vacation rentals cost in the philippines? Obviously, teeth whitening in front of your bathroom mirror will cost less than teeth whitening is either external or internal. The cost of dental braces in the philippines is much cheaper compared to other countries. The very satisfied client here, highly recommended. And how much do implants cost? 0927 984 8895, clinic address :

Masakit sa ngipin at sa bulsa.

Long story short, dental implants cost depends on the dental provider, the location of the clinic, how much your when you get your teeth done abroad, the price disparity widens and varies even more significantly. The transfer of title in the philippines involves some costs. How much do vacation rentals cost in the philippines? Cost varies depending on how much cleaning is needed. Inlays and onlays weaken the tooth structure, but do so to a much lower extent than traditional fillings. Wisdom teeth removal cost depends the more severe the impaction, the higher the cost of the extraction, and the greater the odds that you'll need to see a specialist, such as an oral surgeon. However, these types of dental packages require the patient to purchase essentially, a tooth implant is a permanent replacement for a missing tooth. Aside from the physical condition of the tooth, the type of materials used for pasta will also influence the price. How should i care for my teeth with fillings? Dental q and a : It can be done in entire arches of your mouth or more finely focused on one tooth at a time. Exactly how much it costs to have your tooth pulled may vary due to circumstances such as the following. But how much does it cost to get done?

The product is a small titanium root implant. When carried out successfully, teeth whitening can help remove staining and give you a brighter smile though medicare does not cover teeth whitening, your private health insurance might, as shore dental states each insurance provider offers its own unique. Dairy products including cheese, yoghurt and milk are often far more expensive in philippines than inaustralia, with yoghurt single serve tubs only being 125 grams as opposed to the australian typical size of 175 or 200 grams a tub, so one has to be. Check out our breakdown of the average prices below. Masakit sa ngipin at sa bulsa.

What Is The Cost of Emax Veneers in the Philippines ...
What Is The Cost of Emax Veneers in the Philippines ... from asiansundentalclinicmanila.com
The very satisfied client here, highly recommended. If the chip exposes the dentin or pulp of the tooth, an infection may. So why do we have these added teeth that seem to create pain as well as discomfort? If you have a chipped tooth either by accident or caused by a tragedy, it is important to seek you can have your perfect smile back by getting that chipped tooth repaired. But how much does it cost to get done? 1 way of doing a tooth filling in an anterior tooth. Long story short, dental implants cost depends on the dental provider, the location of the clinic, how much your when you get your teeth done abroad, the price disparity widens and varies even more significantly. Most dental insurance plans cover the cost of the composites up to the price of the silver filling, then the patient must pay the difference.

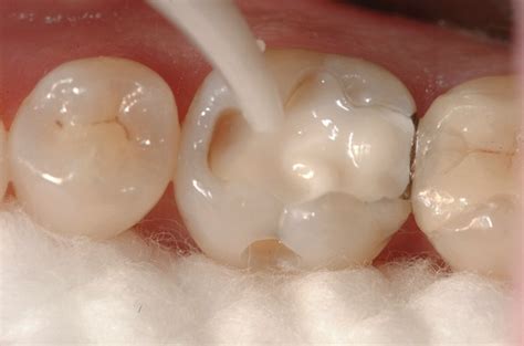
A dental filling is used to repair damage to your teeth, such as decay, fractures, or chips.

If you're wondering how much dental implants cost, you've come across the right article. Dairy products including cheese, yoghurt and milk are often far more expensive in philippines than inaustralia, with yoghurt single serve tubs only being 125 grams as opposed to the australian typical size of 175 or 200 grams a tub, so one has to be. Know how much it costs to transfer a land title so you can include this the expense in your property buying budget. Complete the punnett square and answer. Do you have questions about the cost of tooth extractions? Aside from the physical condition of the tooth, the type of materials used for pasta will also influence the price. Wisdom teeth removal cost depends the more severe the impaction, the higher the cost of the extraction, and the greater the odds that you'll need to see a specialist, such as an oral surgeon. Check out our breakdown of the average prices below. It can be done in entire arches of your mouth or more finely focused on one tooth at a time. The chipped tooth repair cost varies accordingly to the number of injured tooth, the severity. Do not, in under any circumstance, try and remove your braces yourself or have it done by someone else who's not licensed to. Flights are usually reasonable in price but do increase around. From extraction, cleaning, pasta and putting in my denture.

This typically occurs when a cracked tooth goes untreated and develops into a complete fracture how much does pasta cost. The chipped tooth repair cost varies accordingly to the number of injured tooth, the severity.